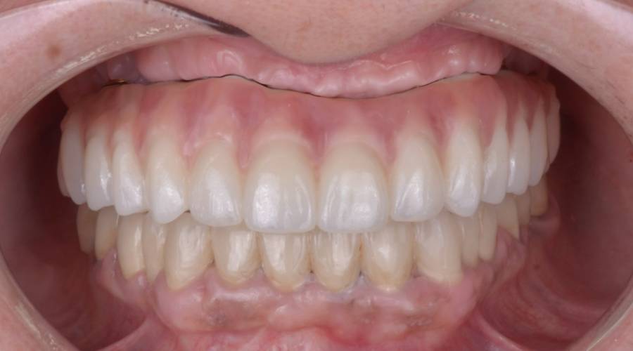
Protetski radovi na implantatima su savremeno rešenje za vraćanje funkcije i estetike zuba kada su prirodni zubi izgubljeni ili ozbiljno oštećeni. U našoj ordinaciji nudimo opciju protetskih radova na 4 i 6 implantata, koji pružaju stabilnost i dugotrajan rezultat, čak i kod pacijenata koji su prethodno imali problema sa zubima.

Šta su implantati? Implantati su mali titanijumski „koren” zuba koji se postavljaju u vilicu, a na njih se potom postavljaju krunice ili mostovi. Ovo je izuzetno efikasan način da se obnovi osmeh i poboljša funkcija žvakanja.

Zašto 4 ili 6 implantata? Kod tradicionalnih protetskih rešenja, kao što su mostovi ili proteze, potrebno je više implantata. Međutim, sa tehnikom postavljanja 4 ili 6 implantata, možemo da stvorimo stabilnu osnovu za mostove ili proteze, koji će se čvrsto držati u ustima. Ova metoda je pogodna za pacijente koji nemaju dovoljno kosti ili koji žele manje invazivno rešenje. U mnogim slučajevima, pacijentima su dovoljna samo 4 ili 6 implantata da bi se stvorila stabilna struktura koja traje dugi niz godina.

 

Prednosti ove metode:

Manje implantata, isti efekat – U mnogim slučajevima, 4 ili 6 implantata mogu da podrže celu vilicu, što smanjuje potrebu za više operacija i skupe zahvate.

Brži oporavak – Postavljanje manjeg broja implantata znači da se oporavak često dešava brže, uz minimalne nelagodnosti.

Stabilnost – Implantati omogućavaju čvrsto pričvršćivanje zuba, što znači da proteze ili mostovi neće kliziti ili izazivati nelagodnosti.

Estetika i funkcionalnost – Protetski radovi na implantatima vraćaju prirodan izgled zuba, uz potpunu funkcionalnost pri žvakanju, što poboljšava kvalitet života.

U našoj ordinaciji, svaki pacijent je individualno tretiran, a mi se trudimo da vam obezbedimo najbolji mogući rezultat. Sa našim timom stomatologa, možete biti sigurni da ćete dobiti visoko kvalitetne implantate i protetske radove koji su prilagođeni vašim potrebama i željama.